Xét nghiệm phân tích di truyền trước chuyển phôi (PGT – Preimplantation Genetic Testing) là một trong yếu tố tăng tỉ lệ thành công cho IVF, giúp các cặp vợ chồng hạn chế số lần chuyển phôi, có ý nghĩa tiết kiệm thời gian, tiền bạc, và chắc chắn sinh ra những em bé khỏe mạnh.
1.Tầm quan trọng của việc chẩn đoán xét nghiệm trước khi chuyển phôi.
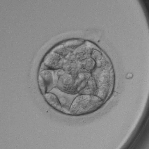
Thụ tinh trong ống nghiệm là một bước tiến hiện đại giúp các cặp vợ chồng vô sinh – hiếm muộn có được con của chính mình. Trong kĩ thuật này trứng được cấy thụ tinh trực tiếp với tinh trùng bên ngoài cơ thể để tạo thành phôi trước khi chuyển vào tử cung. Trong một chu kỳ chọc hút trứng, nhiều phôi được tạo thành và đánh giá chất lượng dựa trên hình thái và tốc độ phát triển để chuyển vào tử cung.

Xét nghiệm phân tích di truyền trước chuyển phôi (PGT – Preimplantation Genetic Testing) là kỹ thuật đi sâu vào phân tích di truyền bên trong của phôi, để dựa vào đó chọn lọc những phôi hoàn toàn bình thường, khỏe mạnh về hình thái, di truyền, đảm bảo khả năng thành công cao, ngăn ngừa bệnh tật di truyền hoặc giảm tỉ lệ đình chỉ thai kỳ do các dị tật di truyền.
Đây cũng là một trong yếu tố tăng tỉ lệ thành công cho IVF, giúp các cặp vợ chồng hạn chế số lần chuyển phôi, có ý nghĩa tiết kiệm thời gian, tiền bạc, và chắc chắn sinh ra những em bé khỏe mạnh.
2. Những người nên làm xét nghiệm di truyền phôi trước khi chuyển phôi :
– Những trường hợp người vợ lớn tuổi ( trên 35 tuổi): phụ nữ có thai sau độ tuổi này phải đối diện với nguy cơ dễ mắc nhiều biến chứng nguy hiểm như tiền sản giật, sảy thai, sinh non, nhau thai bất thường, bé sinh ra mắc hội chứng Down.
– Vô sinh do tinh trùng bất thường: Khi người người chồng có số lượng và chất lượng tinh trùng không đạt tiêu chuẩn bình thường, có thể làm tăng nguy cơ bất thường nhiễm sắc thể ở phôi.
– Tiền sử thất bại khi chuyển phôi (đặc biệt là các trường hợp thất bại 3 lần trở lên): Bất thường về nhiễm sắc thể có thể là nguyên nhân khiến phôi thai khó làm tổ trong tử cung.
– Trường hợp sẩy thai liên tiếp ( 2 lần trở lên): các trường hợp bị sẩy thai, thì có tới trên 50% là do bất thường các nhiễm sắc thể.
– Các cặp vợ chồng đã từng sinh con bị mắc dị tật bẩm sinh, muốn sinh con tiếp theo được khỏe mạnh.
– Vợ hoặc chồng mang gen bệnh: Các bất thường tại một số nhiễm sắc thể có thể không ảnh hưởng đến sự phát triển của phôi, nhưng sau này em bé sinh ra có thể bị mắc dị tật bẩm sinh, và suy giảm nhận thức. Xét nghiệm di truyền trước chuyển phôi có thể giúp bố mẹ phát hiện những bất thường này và đưa ra quyết định sớm.
3. Xét nghiệm sàng lọc di truyền tại bệnh viện Đức Phúc
Bệnh viện hỗ trợ sinh sản và nam học Đức Phúc với sứ mệnh Ươm mầm hạnh phúc với hệ thống máy móc, trang thiết bị hiện đại, tiên tiến bậc nhất, cùng với đội ngũ tư vấn tận tình, đội ngũ cố vấn là chuyên gia đầu ngành về hỗ trợ sinh sản đang là một địa chỉ tin cậy uy tín trong lĩnh vực thụ tinh trong ống nghiệm ( IVF) tại Việt Nam.
- Đội ngũ chuyên gia giỏi chuyên môn, giàu kinh nghiệm với hàng nghìn ca IVF thành công.
- Công nghệ Time-lapse 2023: là công nghệ hỗ trợ sinh sản tiên tiến bậc nhất hiện nay giúp lựa chọn được phôi có tiềm năng làm tổ cao nhất mà không làm ảnh hưởng đến điều kiện nuôi cấy phôi, giúp tăng tỉ lệ thành công cho bệnh nhân điều trị vô sinh hiếm muộn.
- Phác đồ cá thể hoá trong điều trị: Điều trị trúng trọng tâm, đồng hành cùng người bệnh từ đầu đến cuối chu kỳ.
- Quan tâm đến tâm lý khách hàng, giúp khách hàng thoải mái, ổn định, thư thái, thể trạng sức khoẻ tốt nhất mang lại hiệu quả đậu thai lên tới 90%.
- Đội ngũ nhân viên chăm sóc, tư vấn nhiệt tình, tư vấn chế độ, nhắc lịch thăm khám, giải đáp thắc mắc, lo lắng 24/7.
4. Chính sách tài chính hỗ trợ cùng quà tặng trị giá 159.000.000 đồng
Đồng hành trên con đường thực hiện hoá ước mơ, hệ sinh thái Đức Phúc liên kết cùng 33 ngân hàng trên toàn quốc đưa ra giải pháp tài chính TÌM CON TRƯỚC – TRẢ TIỀN SAU với chính sách Trả góp 0 đồng, miễn phí lãi suất lên tới 12 tháng. Bên cạnh đó, các cặp vợ chồng nhận quà tặng lên tới 159.000.000 đồng để nhanh chóng hiện thức hóa giấc mơ làm cha mẹ:
+ Tặng thẻ chi tiêu tiền mặt trị giá 100.000.000 vnđ
+ Tặng xe máy Piaggio Liberty trị giá 40.000.000 vnđ
+ Tặng Voucher “Giải mã gen thế hệ mới & Phát hiện 100% nguyên nhân gây vô sinh hiếm muộn” thăm khám trực tiếp với PGS.TS Trần Đức Phấn (Chủ tịch hội Di truyền Y học Việt Nam) trị giá 15.000.000 vnđ
+ Tặng bộ quà điện máy trang hoàng nhà cửa trị giá 8.000.000 vnđ
+ Tặng bộ bát – cốc cao cấp thương hiệu Đức Phúc.
Hãy liên hệ với chúng tôi để săn Quý Mão. Mọi thắc mắc, hỗ trợ vui lòng liên hệ hotline 097 119 5050 để được tư vấn và lên phác đồ điều trị cá thể hóa cho kết quả như ý nhanh nhất!
—————————————
Thông tin liên hệ:
BỆNH VIỆN ĐỨC PHÚC
Hotline tư vấn 24/7: 097 119 5050
Website: https://benhvienducphuc.com/
Cơ sở 1: 48 Ô Đồng Lầm (Hồ Ba Mẫu), Đống Đa, Hà Nội
Cơ sở 2: 496 Bạch Mai, Hai Bà Trưng, Hà Nội
Bác sĩ Hiếu là chuyên gia Sản phụ khoa và Hỗ trợ sinh sản tận tâm, giàu kinh nghiệm trong việc quản lý và thực hiện các chu kỳ thụ tinh trong ống nghiệm (IVF) và bơm tinh trùng vào buồng tử cung (IUI).









